DR PIERRE PORTA - DR LÉA LEVAN - DR CLÉMENTINE CANTE
b
09 71 51 52 67
+33 4 68 31 25 98
8 Route de Carcassonne, 11300 Limoux
DR PIERRE PORTA - DR LÉA LEVAN - DR CLÉMENTINE CANTE

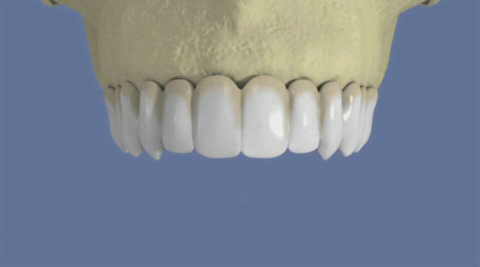
Maxillaire : bridge vissé sans fausse gencive

video-play-icon

Articles similaires

Création par Webdentiste

Connexion